
A full smile makeover in Coffs Harbour considers the appearance and health of your teeth and gums. It is a comprehensive approach to smile redesign that borrows from several avenues of dentistry.
Your dentist in Coffs Harbour, for example, may provide dental fillings, periodontal treatment, tooth replacement, and other specific restorative dentistry options. The idea is to provide you with a smile do-over that underscores the health and appearance of your teeth and gums.
It all starts with an exam and conversation in our dental clinic. This consultation may include x-rays as well. You are encouraged to ask questions and share your smile goals during this dental visit. Meanwhile, your dentist will educate you about the cosmetic dentistry options that will work best for you and help you journey toward your dream smile.
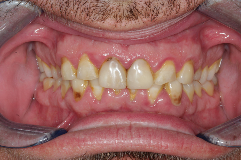
Do You Feel Embarrassed and Anxious About the State of Your Teeth? We Can Help!
At Arthur Street Dental, we hold no judgements and only want to see you enjoy a healthy and attractive smile.
Your dentist in Coffs Harbour is compassionate and understands how circumstances can lead to dental health and aesthetic issues.
Our goal is to gently but thoroughly give you a smile you’ve always wanted. We are also patient and will work to put you at ease. We want your smile journey to be a calm and rewarding experience from start to finish.
If you’re feeling unsure, or if you have any questions about smile makeovers in Coffs Harbour, we encourage your call.
Will My Cosmetic Dentistry Hurt?
Anxiety about pain is something that can keep many people away from the dental clinic. As a result, your health and appearance can suffer. One of the most frequent comments from our patients is that they are surprised at how easy their procedure or procedures felt—both emotionally and physically.
And when it comes to a full smile makeover in Coffs Harbour, your dentist provides tips for recovery following your treatments. Typically, there may be swelling or mild discomfort with some procedures, but medications purchased in shops are usually sufficient to remedy these issues.
Dr Justin Ward makes your comfort his biggest priority. Dentistry does not have to be painful. Proper application of anaesthetic is part of it but feeling confident in your clinical team is just as important.
As a private practice, we are not limited in the amount of time we spend with each patient. By developing long-term relationships with our patients, we learn how to care for you in a highly personalised way. We also have a professional yet fun and relaxed approach to our dental practice because taking care of you is one of the greatest joys of dentistry.