Smile Gallery
Our dental team prioritises patient health and comfort, but we also enjoy helping patients have a smile that adds confidence and joy in their day-to-day lives.
Here are some of our before-and-after patient photos. Take a look, and if you're considering improvements to your own smile, contact us to arrange an appointment.
*The images shown in our Smile Gallery are examples of dental treatments provided at our practice. Individual results will vary depending on each patient’s dental needs and circumstances.
*The images shown in our Smile Gallery are examples of dental treatments provided at our practice. Individual results will vary depending on each patient's dental needs and circumstances.
This patient came in wanting a brighter smile. In-chair teeth whitening was completed using Phillips Zoom Whitening. To continue the maintenance, the patient received whitening trays to take home. This allowed the patient to continue the treatment every few months.
Wanting a whiter and brighter smile, this patient came in for a teeth whitening experience. This treatment included in-chair teeth whitening using Phillips Zoom Whitening, and at-home whitening trays to continue maintenance over the following months.
Patient suffered from broken, stained, and decayed teeth for years. The patient was treated with upper and lower porcelain crowns that were custom-made to restore their smile.
This patient came in concerned about gappy, discoloured teeth. The patient was treated with the placement of 10 custom-made porcelain veneers. These veneers were designed to perfectly match the patient's surrounding teeth, giving them a seamless, straight and natural appearance, with the added benefit of durability and stain resistance.
This patient presented wanting straighter teeth. She went through a course of Invisalign treatment to align her teeth. Invisalign was a great way to achieve straight teeth without having metal braces.
If you are thinking of getting Invisalign treatment at Arthur Street Dental, we offer free consultations to get you started on your journey.
One reason we encouraged this patient to use our Zoom! in-chair teeth whitening treatment is that it's both straightforward and non-invasive. Compared to other options that address tooth stains, we don't have to make any alterations to your tooth enamel, nor do we need multiple appointments. The in-chair teeth whitening process shows considerable improvement with just one 45-minute treatment.
Did you ever wonder why your teeth sparkle? That beauty comes from your enamel. This mineral-rich layer acts like natural glass. It will reflect light unless something else has accumulated on top of it. Teeth whitening beautifies your smile by making ...
Upon examination, we determined this patient's teeth were affected by accumulated surface stains, also called extrinsic stains, since they are on the outside of your tooth enamel.
These types of discolouration result from:
- Black coffee and dark teas
- Tobacco use
- Red wine, grape juice and tomato juice
- Curries and other foods containing turmeric
- Drinking dark-coloured soda like colas
- Certain medications
Our professional strength teeth whitening formula from Zoom! attacks these compounds with gentle, oxidising action, breaking them up.
We can adjust your treatment to fit your needs with both the whitening gel and the light accelerator. This helps provide excellent results, as you see here, with no spotting or ...
Whiter teeth is something this patient always wanted. However their motivation to follow the at-home whitening process with a kit was low. After an In-chair Zoom! Whitening session with the patient, this is the outcome we have achieved.
This patient wanted to fix her smile. She had two missing adult front teeth with the baby teeth still in place, but becoming loose. We returned her smile by creating two bridges using zirconia ceramic.
Patient did not like the white spots on their teeth. After performing icon infiltration, here is the result.
If you've noticed progressive yellowing of your teeth like this patient had, a great place to start is with an in-house Zoom! professional teeth whitening treatment. We like this whitening option because:
- Light acceleration enhances results.
- It's safe with little or no sensitivity.
- It takes less than an hour.
- Your teeth can appear up to eight shades whiter.
We offer Zoom! Whitespeed with an advanced blue LED light that works in concert with their whitening gel to break up stubborn surface stains, allowing more clean tooth enamel to show through. This option is popular because patients are impressed with the results, the speed and ...
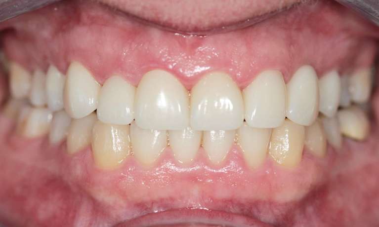
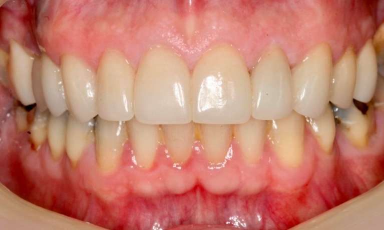
We performed a full mouth rehab (upper and lower) to replace this gentleman’s lower denture. An upper bridge was used to open his bite and improve the aesthetic of his smile.
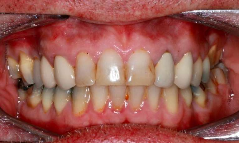
This patient had severe erosion and abrasion due to teeth grinding, acid wear from reflux and soft drink intake.
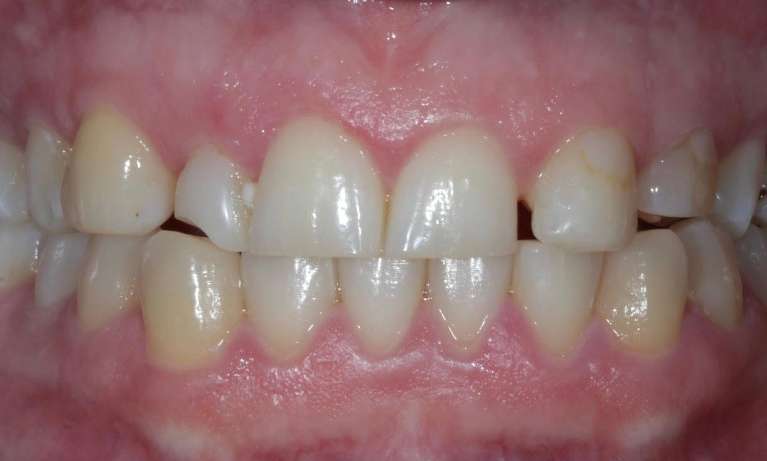
The patient presented with broken, worn down and gappy teeth. We recommended some crown and bridge work to restore his dentition. His teeth were prepared on his first appointment, where impressions were taken for the custom-made crown and bridge. A second appointment was scheduled to place the crown and bridge, with bite checks done to ensure the patient's comfort.
This patient presented with missing and stained a broken teeth. After years of hiding his smile, he finally decided to invest in his dental health. The patient underwent:
- Teeth whitening first to ensure he had the perfect new shade prior to the next steps;
- Dental implants for those teeth that were missing, using the whiter shade attained from the teeth whitening process; and
- Dental crowns for his broken teeth. The crowns help preserve the life of his remaining natural tooth structure.
The result is a new, natural smile!
This patient was treated with porcelain crowns that were custom-made to restore their smile.