Arthur Street Dental
A Great Dentist

Please note our clinic will be closed over the holiday break from December 23rd, reopening on January 5th. 

To book an appointment, call us on (02) 6652 1677 or book online here

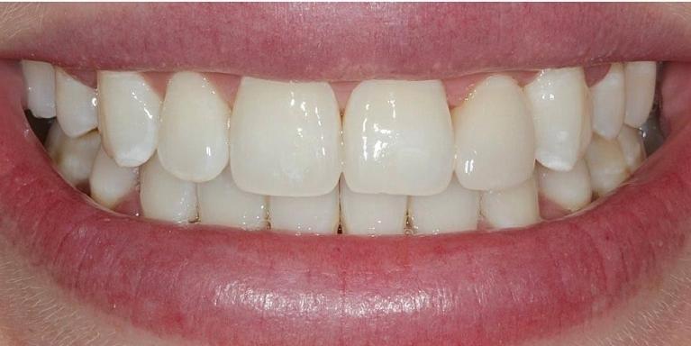
Smile Gallery: Cosmetic Dentistry

Our dental team prioritises patient health and comfort, but we also enjoy helping patients have a smile that adds confidence and joy in their day-to-day lives.

Here are some of our before-and-after patient photos. Take a look, and if you're considering improvements to your own smile, contact us to arrange an appointment.

*The images shown in our Smile Gallery are examples of dental treatments provided at our practice. Individual results will vary depending on each patient’s dental needs and circumstances.

Have Questions? Get in Touch
Any surgical or invasive procedure carries risks, and we recommend seeking a second opinion from an appropriately qualified health practitioner before proceeding.
All surgical or invasive procedures carry risks. Before proceeding, you should seek a second opinion from an appropriately qualified health practitioner. The information throughout this site is not intended to be taken as medical advice.
Any surgical or invasive procedure carries risks. Before proceeding, you should seek a second opinion from an appropriately qualified health practitioner.
Contact Us