Smile Gallery: Teeth Whitening
Our dental team prioritises patient health and comfort, but we also enjoy helping patients have a smile that adds confidence and joy in their day-to-day lives.
Here are some of our before-and-after patient photos. Take a look, and if you're considering improvements to your own smile, contact us to arrange an appointment.


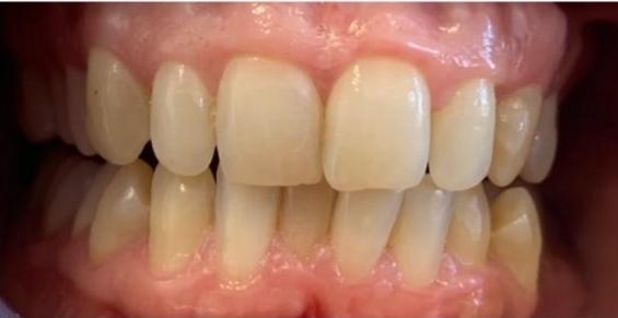
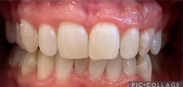
This patient came in wanting a brighter smile. In-chair teeth whitening was completed using Phillips Zoom Whitening. To continue the maintenance, the patient received whitening trays to take home. This allowed the patient to continue the treatment every few months.


Wanting a whiter and brighter smile, this patient came in for a teeth whitening experience. This treatment included in-chair teeth whitening using Phillips Zoom Whitening, and at-home whitening trays to continue maintenance over the following months.


One reason we encouraged this patient to use our Zoom! in-chair teeth whitening treatment is that it's both straightforward and non-invasive. Compared to other options that address tooth stains, we don't have to make any alterations to your tooth enamel, nor do we need multiple appointments. The in-chair teeth whitening process shows considerable improvement with just one 45-minute treatment.
Did you ever wonder why your teeth sparkle? That beauty comes from your enamel. This mineral-rich layer acts like natural glass. It will reflect light unless something else has accumulated on top of it. Teeth whitening beautifies your smile by making ...


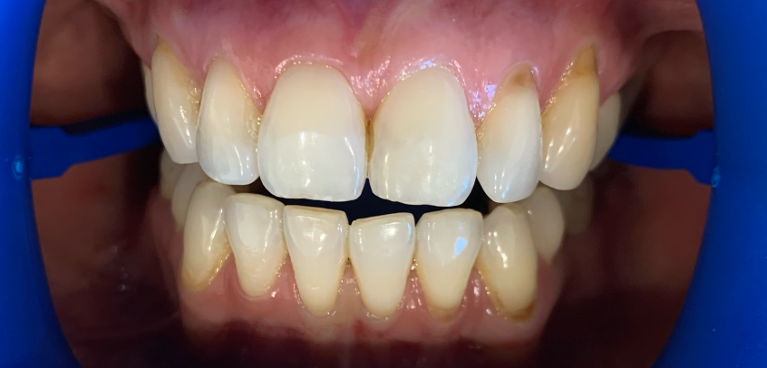
Upon examination, we determined this patient's teeth were affected by accumulated surface stains, also called extrinsic stains, since they are on the outside of your tooth enamel.
These types of discolouration result from:
- Black coffee and dark teas
- Tobacco use
- Red wine, grape juice and tomato juice
- Curries and other foods containing turmeric
- Drinking dark-coloured soda like colas
- Certain medications
Our professional strength teeth whitening formula from Zoom! attacks these compounds with gentle, oxidising action, breaking them up.
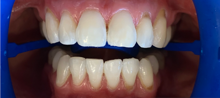
We can adjust your treatment to fit your needs with both the whitening gel and the light accelerator. This helps provide excellent results, as you see here, with no spotting or ...


Whiter teeth is something this patient always wanted. However their motivation to follow the at-home whitening process with a kit was low. After an In-chair Zoom! Whitening session with the patient, this is the outcome we have achieved.


If you've noticed progressive yellowing of your teeth like this patient had, a great place to start is with an in-house Zoom! professional teeth whitening treatment. We like this whitening option because:
- Light acceleration enhances results.
- It's safe with little or no sensitivity.
- It takes less than an hour.
- Your teeth can appear up to eight shades whiter.
We offer Zoom! Whitespeed with an advanced blue LED light that works in concert with their whitening gel to break up stubborn surface stains, allowing more clean tooth enamel to show through. This option is popular because patients are impressed with the results, the speed and ...


This patient presented with missing and stained a broken teeth. After years of hiding his smile, he finally decided to invest in his dental health. The patient underwent:
- Teeth whitening first to ensure he had the perfect new shade prior to the next steps;
- Dental implants for those teeth that were missing, using the whiter shade attained from the teeth whitening process; and
- Dental crowns for his broken teeth. The crowns help preserve the life of his remaining natural tooth structure.
The result is a new, natural smile!